Pozor na farmaceutické zložky v sérach na rast mihalníc

Analýzy najznámejších sér na riasy a produktov na rast rias, objavili prostaglandínové analógy. Prostaglandínové analógy sa pridávajú na stimuláciu rastu rias a obočia. Odborníci radia spotrebiteľom, aby nepoužívali výrobky obsahujúce prostaglandínové analógy, pretože to môže viesť k závažným nežiaducim účinkom.
Čo sú to prostaglandínové analógy
Prostaglandínové analógy sú farmaceutické látky, ktoré sa nachádzajú v schválených liekoch – pôvodne v liekoch na zníženie očného tlaku. Odborníci sa domnievajú, že tento typ látok by sa v kozmetických výrobkoch – ako napríklad sérach na rast mihalníc, nemal vyskytovať.
Výsledky analýz známych sér na predĺženie mihalníc sú pozoruhodné aj smutné, najmä v prípadoch keď sa prostaglandínové analógy nenachádzajú na zozname zložiek. Zákazníčky sa teda nemôžu týmto produktom vyhnúť.
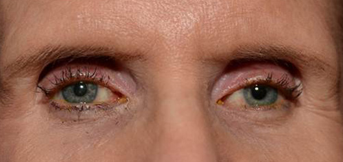
Riziká sér na rias s obsahom prostaglandínových analógov
Prostaglandínové analógy môžu mať nežiaduce účinky, ako je podráždenie, svrbenie, bolesť a zmena farby očí a tmavšia pigmentácia okolo očí.
Informácie naznačujú, že prostaglandíny môžu zmeniť tukové tkanivo v očnici a môže sa prejaviť tzv. syndróm vpadnutého oka.


Pred kúpou séra na rast mihalníc
- Dôkladne si preštudujte zloženie produktu. Odborníci odporúčajú nekupovať, ak produkt obsahuje názvy látok ako napr. prostaglandín, prostaglandínova molekula alebo bimatoprost.
- Ak produkt neobsahuje detailný popis zložiek a ani stránka výrobcu neobsahuje popis – odporúčame produkt nekupovať.
Náš tip: Ak ste rozhodnutá siahnuť po sére na mihalnice, odporúčame vybrať si také, ktorého účinky sú založené na báze peptidov, ktoré dokážu aktivovať rast mihalníc. Sérum na rast mihalníc Revita EPS obsahuje práve túto zložku, ktorá je bezpečná.